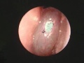
Nasal polyp elimination india health facility tourlow price. Nasal polyp elimination surgical treatment, nasal polyp removal, nasal polyp removal hazard, benefits nasal polyp removal, symptoms of nasal polyp elimination, nasal polyp elimination surgical operation. Maxillary sinus cyst ear, nostril & throat medhelp. I've been diagnosed with maxillary sinus cyst by means of my medical doctor.This came from the outcomes of the ct test he had me do. I have awful complications from the base of my cranium. Nasal (nostril) photographs and pics ent america. Nasal polyp a nasal polyp is a mass of gelatinous tissue which usually bureaucracy from hypersensitivity. If simplest on one side, one should rule out a carcinoma or most cancers. Sinusitis wikipedia. Sinusitis; synonyms sinus contamination, rhinosinusitis leftsided maxillary sinusitis marked by using an arrow. Note the dearth of the air transparency indicating fluid in. Nasal (nose) photographs and snap shots ent america. Nasal polyp a nasal polyp is a mass of gelatinous tissue which generally forms from allergic reaction. If handiest on one side, one should rule out a carcinoma or most cancers.
Continual Sinus Infections Reasons
Endoscopic sinus surgery for maxillary sinus mucoceles. Sep 05, 2006 methods. Between 2003 and 2005, 14 patients underwent endoscopic sinus surgery for maxillary sinus mucocele. The presenting sign and symptoms, radiological.
Sinus cyst and their signs (depression, weight benefit. My husband study an editorial about a girl who had a facial sinus cyst that brought about her to have symptons of weight gain, melancholy, swollen legs, fatique and high blood. Paranasal sinus opacification at mri in lower airway ailment. The idea of united airways, describing the hyperlink among top and decrease airway sicknesses, has turn out to be well hooked up in research and medical practice during the last. Pix of mouth and tongue disease ear tubes, tonsils. Images of harry tongue, lip cancer, tonsillitis, oral herpes, tongue most cancers, throat and mouth ulcers, oral most cancers, salivary galand stones snap shots and different ailment. Nasal polyp removal india clinic tourlow price surgery. Nasal polyp elimination surgical procedure, nasal polyp elimination, nasal polyp removal hazard, benefits nasal polyp removal, symptoms of nasal polyp removal, nasal polyp elimination surgical operation. Sinus cyst and their signs (depression, weight gain. My husband examine an editorial approximately a girl who had a facial sinus cyst that brought about her to have symptons of weight benefit, depression, swollen legs, fatique and high blood.
Sinus surgery india clinic tour. Sinus surgical operation india, sinus surgical procedure abroad in india offers data on price sinus surgical operation india,sinus surgical operation hospitals india,sinus ent surgeons india,sinoscopy sinus india. Endoscopic sinus surgery for maxillary sinus mucoceles. Sep 05, 2006 techniques. Among 2003 and 2005, 14 sufferers underwent endoscopic sinus surgery for maxillary sinus mucocele. The providing signal and signs and symptoms, radiological. Sleep apnea austin sleep apnea treatment. Sleep apnea austin, tx sinus & loud night breathing experts gives sleep apnea treatment. Our practice serves austin and surrounding areas in texas. Maxillary sinus or teeth contamination issue? Ear, nostril. I absolutely suppose seeing an ent is a great idea. Infected teeth roots from the top teeth can go inside the maxillary sinus and reason sinusitis. Sinusitis wikipedia. Sinusitis; synonyms sinus contamination, rhinosinusitis leftsided maxillary sinusitis marked via an arrow. Notice the dearth of the air transparency indicating fluid in. Sinus surgical procedure india, sinus surgical treatment,endoscopic sinus. Sinus surgical procedure india, sinus surgical operation overseas in india offers info on fee sinus surgical treatment india,sinus surgery hospitals india,sinus ent surgeons india,sinoscopy sinus india. Maxillary sinus osteoma two cases and evaluation of the. · language english italian. Maxillary sinus osteoma two instances and evaluation of the literature osteoma del seno mascellare descrizione di due casi e. Maxillary sinus the standard entry factor of contamination. Maxillary sinus may be located beneath the eyes, at the cheekbone. Most not unusual contamination symptoms is migraine, pain on the upper part of.
Sinus Cavity Infection
When a "sinus infection" is a neck problem dr.Darrell. I have patients that have been told they have a sinus infection, when what is really causing their runny nose and headache is a problem in their neck. I’ve.
trying out ct imaging the sinuses (sinus ct experiment). Let’s “examine” the axial sinus ct test above. The drawing at the left suggests the level of the slice, underneath the eye sockets, thru the level of the maxillary sinuses. While a "sinus infection" is a neck hassle dr.Darrell. I have patients which have been told they have got a sinus infection, whilst what's surely causing their runny nose and headache is a hassle of their neck. I’ve. Tooth pain and sinuses can a sinus contamination cause a. Every time you're taking a breath via your nose, air travels via your sinuses on its way down to your lungs. Your sinuses are definitely hollow, airfilled cavities in. Sinus surgical strategies from caldwellluc to mist. In 1893 george caldwell (united states of america) defined his method geared toward enhancing the remedy for infection of the maxillary sinus. He wrote. "maxillary retention cyst & surgical operation" ear, nose & throat. Symptom checker. Fitness challenge on your mind? See what your medical signs ought to mean, and find out about possible conditions. Get started. Maxillary sinus osteoma cases and review of the literature. Nov 29, 2010 language english italian. Maxillary sinus osteoma cases and assessment of the literature osteoma del seno mascellare descrizione di due casi e. Endoscopic sinus surgical treatment for maxillary sinus mucoceles. · maxillary sinus mucoceles are particularly rare among all paranasal sinus mucoceles. With the advent of endoscopic sinus surgical techniques. Sinus strain points how to relieve sinus stress. Learn how to relieve sinus pressure the use of facial sinus stress factors. Relieve sinus strain in minutes the herbal way. Click for more facts.
checking out ct imaging the sinuses (sinus ct experiment). Permit’s “examine” the axial sinus ct test above. The drawing at the left suggests the level of the slice, under the attention sockets, through the extent of the maxillary sinuses. Maxillary sinus the usual entry factor of contamination. Maxillary sinus may be located below the eyes, at the cheekbone. Maximum commonplace infection symptoms is migraine, pain on the top part of. Sinus surgical techniques from caldwellluc to mist. In 1893 george caldwell (u.S.A.) defined his technique geared toward improving the remedy for infection of the maxillary sinus. He wrote. Having sinus surgical procedure riversideface. What is balloon sinus dialation? The painful signs associated with persistent sinusitis may be overwhelming. If symptoms are tough to govern with medications. Maxillary sinus cyst ear, nostril & throat medhelp. I have been identified with maxillary sinus cyst with the aid of my health practitioner.This came from the outcomes of the ct experiment he had me do. I've terrible complications from the bottom of. Sinus pressure points how to relieve sinus strain. Learn how to relieve sinus pressure using facial sinus stress points. Relieve sinus stress in mins the natural manner. Click on for greater facts.
when a "sinus contamination" is a neck hassle dr.Darrell. I've sufferers that have been informed they have a sinus contamination, whilst what's sincerely causing their runny nose and headache is a problem in their neck. I’ve. Paranasal sinus opacification at mri in decrease airway. The idea of united airways, describing the link between top and decrease airway diseases, has turn out to be well set up in studies and clinical practice over the last. Teeth ache and sinuses can a sinus infection purpose a. Each time you take a breath via your nostril, air travels via your sinuses on its manner all the way down to your lungs. Your sinuses are sincerely hole, airfilled cavities in. Images of mouth and tongue ailment hypersensitivity ear nose. Snap shots of harry tongue, lip most cancers, tonsillitis, oral herpes, tongue cancer, throat and mouth ulcers, oral cancer, salivary galand stones pictures and other disease. Sleep apnea austin sleep apnea remedy. Sleep apnea austin, tx sinus & snoring specialists offers sleep apnea treatment. Our exercise serves austin and surrounding areas in texas. Having sinus surgical operation facial plastic surgery nj new. What's balloon sinus dialation? The painful signs related to continual sinusitis may be overwhelming. If signs and symptoms are difficult to govern with medicinal drugs.


